When heel pain persists or worsens with movement, several conditions beyond standard inflammation may be responsible. Identifying the specific cause is essential for effective treatment.
Heel pain including plantar fasciitis and bone spurs are one of the most common complaints seen in the foot. Plantar fasciitis is an inflammation of the large ligament on the bottom of the foot. Although most cases of plantar fasciitis occur near the heel, often described as sharp pain, this condition can be evident anywhere from the heel all the way to the ball of the foot.
In order to feel the plantar fascial ligament, with one hand bend the big toe upwards, run your finger from your other hand along the bottom of the foot, you will feel a large cord like structure that runs from the ball of your foot to your heel. The purpose of this structure is to act like a bowstring in order to support the structure of your arch.
In the picture below, the yellow band represents the plantar fascial ligament. Notices how it attaches from the heel to the ball of the foot.
|
Many authors consider the plantar fascial ligament to actually be a direct extension of the Achilles tendon. Once again refer to the diagram above.
People who exhibit an equinus or lack of dorsiflexion in the foot (the inability to bend the foot upwards beyond a 90 degree angle to the leg with their knee in a locked position) will be more inclined to suffer from plantar fasciitis. People who have a tight Achilles tendon are generally inclined to pronate more, to compensate for the Achilles tightness and this puts an added strain on the plantar fascial ligament.
Many women who suffer from plantar fasciitis will tell me that their heel feels better when they are in high heels. Why, because wearing a high heel reduces the tension on the Achilles tendon and thus reduces the tension on the plantar fascial ligament. If an equinus does exist, it must be addressed in the overall treatment plan because no matter what type of therapy your doctor may recommend, the tendency to overstretch the plantar fascial ligament will continue and so will the pain.
The problem with most foot symptoms unlike a hand injury for example, is that it is very hard to “rest” a foot in order to allow it to get better. So every time you take a step you are re-injuring an injured area and for that reason foot injuries can take a long time to heal, especially heel pain because every time you take a step you are putting pressure on the heel.
The table below compares other conditions which may also cause heel pain.
| Condition | Primary Symptom | Pain Location | Best Initial Treatment |
|---|---|---|---|
| Plantar Fasciitis | Sharp pain with the first steps in the morning. | Bottom of the heel, near the arch. | Stretching, orthotics, and icing. |
| Heel Spur | Chronic, dull ache that worsens with activity. | Directly under the heel bone. | Cushioned shoe inserts and rest. |
| Achilles Tendonitis | Pain and stiffness at the back of the heel. | Back of the heel/Lower calf. | Eccentric loading exercises and heel lifts. |
| Bursitis | Swelling and redness; pain when squeezing the heel. | Back or bottom of the heel. | Anti-inflammatories and footwear changes. |
Most people relate a similar story:
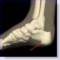
When there is excessive inflammation particularly at the insertion of the ligament into the heel bone, calcification can occur and you end up with what is routinely known as a heel spur which is the classic bone spur in the foot. One could argue that this is simply an exacerbation of the plantar fasciitis. In fact, in this day and age, seeing a heel spur on x-ray, does not change my treatment plan for any given patient.
Below is a picture of a true heel spur; a calcification of the plantar fascial ligament.
|
Additionally, when the pain in the heel seems to worsen the more you ambulate other problems may be present. In addition to the plantar fasciitis you may also be suffering from:
Heel bursitis
A heel neuroma, which is simply a pinched nerve that gets entrapped in the area of inflammation.
Tarsal tunnel syndrome
Lack of fat in the heel. The fat is supposed to act as a cushion, but some people either do not have enough fat, or as we age we lose some of the fat, and now the heel bone becomes bruised because there is not enough fat to protect it.
Plantar fascial tear- instead of being inflamed, the ligament may actually be torn.
heel fracture- a fracture of the calcaneus bone will cause heel pain that will worsen the more you ambulate.
It is essential that a well-trained foot specialist be consulted to rule out the cause of the heel pain. (These are the most common but not an all inclusive list of causes of heel pain).
Making the right diagnosis and eliminating the factors aggravating the heel pain are essential in alleviating the problem. If my patient happens to be very much overweight or wears very flimsy shoes, the chances of success in alleviating the problem are greatly diminished unless those issues are addressed.
The most common cause is plantar fasciitis, an inflammation of the large ligament on the bottom of the foot that acts like a bowstring to support your arch.
A classic symptom is sharp, stabbing pain during your first steps in the morning or after sitting for a long period. The pain often subsides as you move but can return with prolonged standing.
Plantar fasciitis is the inflammation of the ligament, while a heel spur is a calcium deposit on the bone resulting from that inflammation. Usually, the presence of a spur does not change the primary treatment plan.
Wearing a heel lift or high-heeled shoe reduces the tension on the Achilles tendon, which in turn reduces the "pull" and strain on the plantar fascial ligament.
Yes. If pain worsens the more you walk, it could be Heel Bursitis, Fat Pad Atrophy (loss of natural cushioning), Tarsal Tunnel Syndrome (nerve compression), or even a Stress Fracture.
For standard cases, the most effective starting treatments include consistent stretching, the use of orthotics (shoe inserts), and icing the area to reduce inflammation.
Expert advice provided by Dr. Marc Mitnick, DPM.
REFERENCES
American Podiatric Medical Association
continue to plantar fasciitis treatments
DISCLAIMER: The purpose of this site is purely informational in nature. It is not intended to diagnose, treat or cure any medical condition. This information is not a substitute for advice from a medical professional. Please consult your healthcare provider for accurate diagnosis and treatment. The information presented here may be subject to errors and omissions.
SITE LAST UPDATED: APRIL 2026


I've been doing some aggressive research lately (it's how I found your incredible website) and realize now that my symptoms are not consistant with the diagnosis.
Jennifer
Hunterville, NC
….after reviewing your amazing site (great for the avg. jill). So thank you very much!!!
Liesbeth
NY
Michael D. Ebeling
Tampa, Florida 33624
Thanks for a most interesting website, which has helped a lot.
Steve
UK
Dear Dr.Mitnick
I usually do my research on the Mayo clinic website. I think your website is the most informative site I have found when researching foot pain.
I thank you for putting together this incredible website.
Regards,
Dragica W.
Edmonton,Canada
....I have been told that it is not hard enough to be cut off. Please help, I am not sure what to do now! THANKS FOR A WONDERFUL AND VERY HELPFUL SITE!
Roxy
South Africa
You have an unusually clear, informative and well-written website for laypersons. Thank you for that.
Matthew W.
Mansfield Ctr, CT
First, I'd like to thank you for all the information that you provide on your website and the opportunity to write to you.
Steve
Placentia, California
First, I want to let you know that you have the best web site I've found related to foot issues. (The only thing I had difficulty finding was the "ask a question" page.)
Unknown
Unknown location
I received the orthotics Monday afternoon and began wearing them Tuesday. After two days I would say that I have noticed a huge improvement in the discomfort I have been experiencing. My foot feels better than it has in months.
Ric J.
Unknown location
I greatly admire someone like you who would donate and dedicate so much time and effort to helping strangers with no compensation. Truly, it is uncommonly kind. And your site is so intelligently arranged.
Ron R.
Pacific Grove, CA
I used to work for a podiatrist (front desk) back during summers in college years ago, so I know the benefits of good care. Again, I want to thank you for an EXCELLENT website. It was so great to get to your site (top of google search) and actually find all the answers I needed EASILY and QUICKLY! Clearly you put a ton of work into it and I really appreciate it.
All the best,
Victoria
Alameda, California
By the way, millions of websites could use yours as a guideline on how to organize information and make the site user-friendly. Kudos to you!
Anonymous
Thank you for your very interesting and informative site!
Anonymous
Feb 06, 23 07:17 PM
Feb 01, 23 02:41 PM
Jan 25, 23 04:52 PM
Jan 22, 23 01:41 PM
Jan 18, 23 05:12 PM
Jan 15, 23 08:32 PM
Jan 14, 23 05:02 PM
Jan 11, 23 02:18 PM
Jan 08, 23 10:07 AM
Jan 03, 23 03:04 PM